病例简介
患者陈某,34岁,G2P1,18年自娩一胎。
主诉:
体检发现左侧卵巢囊肿6个月
妇检:
外阴、阴道、宫颈未及明显异常,宫体前位,常大,无触痛,活动好。子宫后壁光滑,后穹隆触诊软,无触痛结节,左附件区可扪及囊性包块,5厘米左右,活动可,无压痛,右附件未扪及明显异常。
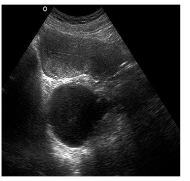
辅助检查:
B超:左卵巢无回声6.2*6.3*5.5厘米,壁薄,透声好,无分隔。

化验检查:
肿瘤标记物均正常
术前诊断:
左卵巢囊肿
化验检查:
肿瘤标记物均正常
术前诊断:
左卵巢囊肿
手术方案:
经阴道单孔腹腔镜左卵巢囊肿剥除术
手术详情:
手术日期:2021-6-25
手术时间:50分钟;
出血:30毫升;
术后24小时VAS 评分:1分;
术后排气时间:24小时;
术后24小时拔除尿管;
术后病理结果:卵巢浆液性囊腺瘤。
术后3个月门诊复查:

